عاجل - د. عاصم منصور يفك شيفرة "جريمة مكتملة الأركان"

بلكي الإخباري
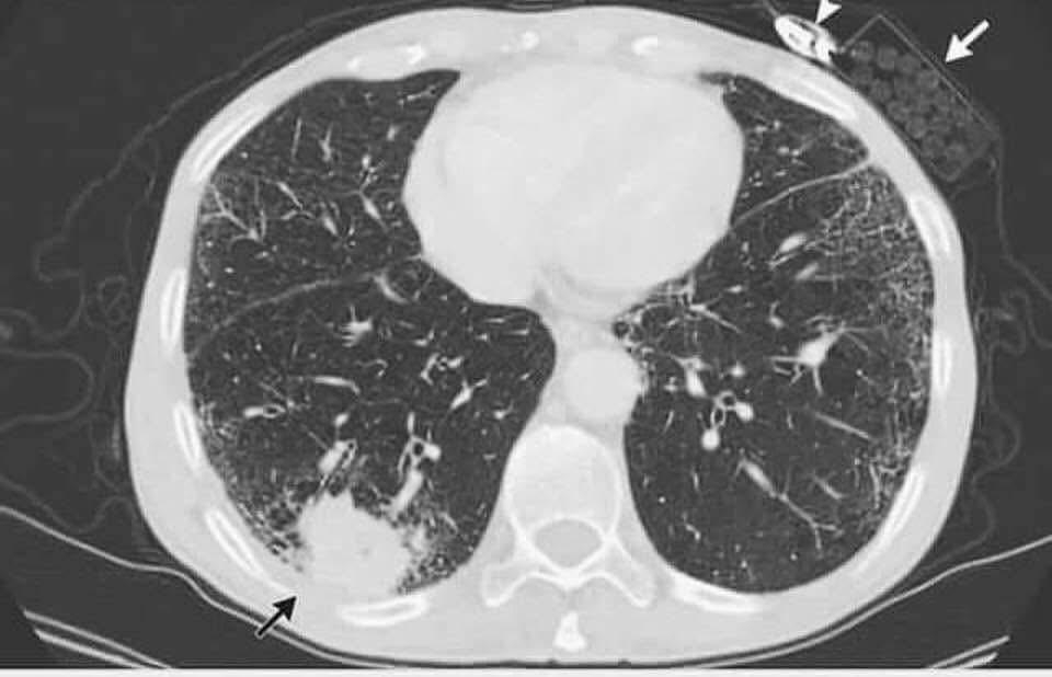
أكد الدكتور عاصم منصور مدير عام مركز الحسين للسرطان في قراءة تحليلية لصورة أشعة نادرة أنه لا توجد جريمة في علم الجنايات دون جثة وسلاح مشيرا إلى أن الصورة كشفت بوضوح عن ورم سرطاني في الرئة يمثل الضحية بينما ظهر سلاح الجريمة المتمثل بعبوة سجائر وولاعة تركها المريض في جيبه سهوا وأضاف منصور أن الخطوط البيضاء الدقيقة المتقاطعة في الرئتين تعكس آثارا زمنية طويلة للتدخين مما يثبت وجود علاقة جرمية قديمة بين الجاني والضحية واصفا الصورة بأنها أبلغ من ألف كلمة في التوعية من مخاطر التبغ وأضراره الفتاكة على الجسم البشري

















